
貝多芬齒顎矯正中心 Home

貝多芬齒顎矯正中心 Consult

貝多芬齒顎矯正中心 Case


透明快速矯正暴牙案例 矯正失敗例

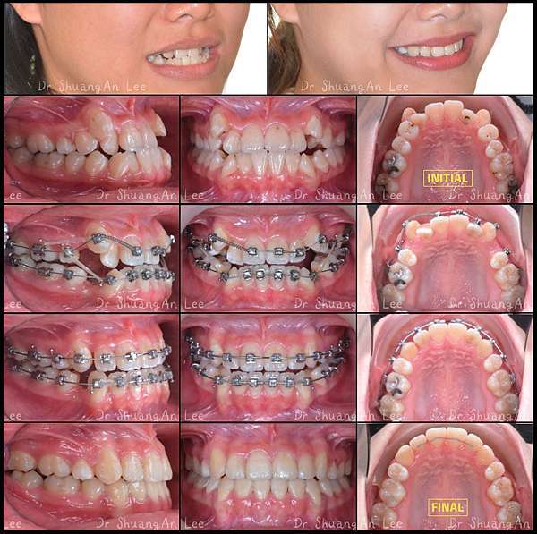
矯正案例集 01 前牙錯咬合併齒列擁擠 李雙安醫師撰寫 李雙安醫師的齒顎矯正部落格 痞客邦

貝多芬齒顎矯正中心 Clinics
![]()
貝多芬齒顎矯正中心 Publications
湧傑牙材yong Chieh 2018 中華民國齒顎矯正學會大會12 7 9 Ticc 台北國際會議中心 Facebook

醫師團隊 原點牙醫診所
2
牙套 新竹貝多芬矯正中心 即將滿三週年小紀念 Pixstyleme 痞客邦
Tags:
中心